Salud
No hay dos sin tres
Pfizer asegura que “probablemente” sea necesaria tercera dosis de la vacuna
Por The New York Times
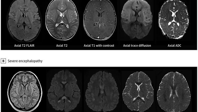
Algunos niños con un síndrome relacionado con la COVID desarrollan síntomas neurológicos
Por The New York Times
El poder curativo de la música
Por The New York Times
El consumo excesivo de alcohol aumentó durante la pandemia, pero hay maneras de reducirlo
Por The New York Times
No confundamos la resistencia silenciosa con la resiliencia
Mi música es tu voz
Más de 70 artistas participan de campaña por el Día Internacional de la Voz