Montevideo Portal
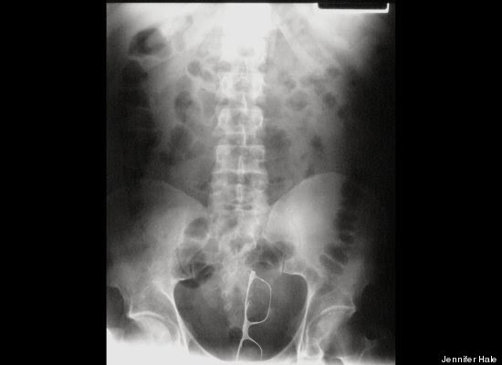
"Stack Up!" es una muy divertida colección de 100 imágenes de rayos X que muestra cuerpos extraños ingeridos o insertados en el cuerpo humano, tanto por accidente o de forma voluntaria, aunque se haga difícil imaginar el motivo de algunas de tales inserciones.
Los autores del libro -dos psiquiatras y un médico de sala de emergencias- aseguran -sin mucha originalidad pero con conocimiento de causa, que la imaginación humana no tiene límites. Esta afirmación es aplicable tanto a la calidad y variedad de objetos tragados o incorporados al cuerpo, como a los motivos o excusas utilizados para justificar la presencia de dichos objetos.
"Hay gente que hace cosas realmente imprudentes, y luego trata de racionalizarlas", advierten los autores en la solapa del libro, destacando precisamente la imaginación humana para "dar con usos imprevistos para objetos de la vida cotidiana".
"Tenía las manos ocupadas", "me caí encima", son algunas de las excusas que los profesionales de la salud escuchan de los pacientes que llegan a los hospitales con "cuerpos extraños extrañamente metidos en el cuerpo".
Redactado de manera humorística, el libro se pregunta cómo un teléfono celular puede haber ido a parar al sitio de la anatomía del propietario donde nunca da el sol, respondiéndose que, probablemente, estuviera en modo vibrador.
"Hallar un termómetro atascado en el recto de un adulto puede resultar corriente. Pero ¿Qué se puede decir de una muñeca Barbie, perteneciente a su hija de seis años?", se preguntan los autores, añadiendo el consejo infaltable: no hagan esto en casa.
Montevideo Portal
Acerca de los comentarios
Hemos reformulado nuestra manera de mostrar comentarios, agregando tecnología de forma de que cada lector pueda decidir qué comentarios se le mostrarán en base a la valoración que tengan estos por parte de la comunidad. AMPLIAREsto es para poder mejorar el intercambio entre los usuarios y que sea un lugar que respete las normas de convivencia.
A su vez, habilitamos la casilla [email protected], para que los lectores puedan reportar comentarios que consideren fuera de lugar y que rompan las normas de convivencia.
Si querés leerlo hacé clic aquí[+]