Montevideo Portal
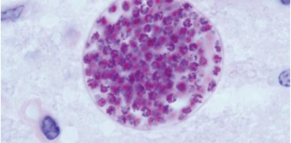
Entender cómo el parásito causante de la toxoplasmosis, “muy prevalente” en Uruguay, es capaz de infectar el feto y causar abortos en humanos y animales es una de las metas del trabajo que desarrolla en el Instituto Pasteur (IP) la recientemente premiada científica uruguaya María Eugenia Francia.
Según destaca en una entrevista con EFE, al igual que otros “bastante famosos” de su grupo, como el plasmodium, que causa la malaria, este es un organismo tan “difícil de erradicar” como “fascinante desde el punto de vista biológico”.
Según la también profesora agregada de la Unidad Académica de Parasitología y Micología de la Facultad de Medicina de la Universidad de la República, el toxoplasma tiene la particularidad de afectar tanto la salud humana como la animal y la ambiental, lo que lo hace “paradigmático” del concepto denominado “una salud”.
Es por ello que, junto con su equipo de doce investigadores, Francia trabaja en el estudio de este parásito, que, puntualiza, es unicelular y con una biología “bastante diferente” a la humana, “desde varias ópticas”.
“Lo que nosotros buscamos es, por un lado, contestar preguntas muy de ciencia básica, de tratar de entender, porque hay mucha cosa de cómo este parásito se replica y multiplica que no se conoce”, explica sobre algunas de las líneas que persigue su equipo, centradas en comprender cómo éste logra infectar las células humanas y de otros animales.
En tanto, recalca que el toxoplasma es “muy prevalente” en Uruguay, donde pese a los controles prenatales hay casos de bebés infectados intraútero, lo que tiene “consecuencias muy graves para el desarrollo”, asegura que, como los principales afectados por la toxoplasmmosis son los niños y las embarazadas, su equipo colabora mucho con las áreas de pediatría y ginecología de hospitales.
A su vez, si bien sostiene que a largo plazo se busca “la identificación de nuevas dianas moleculares para desarrollar nuevos fármacos” o incluso vacunas para combatir un parásito que también infecta a especies de interés productivo como las ovejas y las vacas, Francia insiste en “no abandonar la ciencia básica”.
“Es un muy buen ejercicio que no hay que dejar de hacer en este mundo en el que todo está enfocado en la innovación y la generación de productos, porque si abandonamos la ciencia básica abandonamos la generación de nuevo conocimiento y eso es un riesgo para la ciencia”, acota.
En tanto subraya que su equipo trabaja en colaboración con investigadores de Argentina, Brasil, Francia, Alemania y España, la uruguaya indica que el intercambio de líneas de trabajo con investigadores de otros países es clave.
“Esta va a ser muy interesante porque va a ser en Brasil y eso implica que va mucha gente de Brasil, un país que tiene una problemática muy grande con la toxoplasmosis y donde hay muchísima investigación en el tema, entonces ya interactuar con los colegas brasileños va a ser muy importante”, redondea.
EFE
Montevideo Portal
Acerca de los comentarios
Hemos reformulado nuestra manera de mostrar comentarios, agregando tecnología de forma de que cada lector pueda decidir qué comentarios se le mostrarán en base a la valoración que tengan estos por parte de la comunidad. AMPLIAREsto es para poder mejorar el intercambio entre los usuarios y que sea un lugar que respete las normas de convivencia.
A su vez, habilitamos la casilla [email protected], para que los lectores puedan reportar comentarios que consideren fuera de lugar y que rompan las normas de convivencia.
Si querés leerlo hacé clic aquí[+]