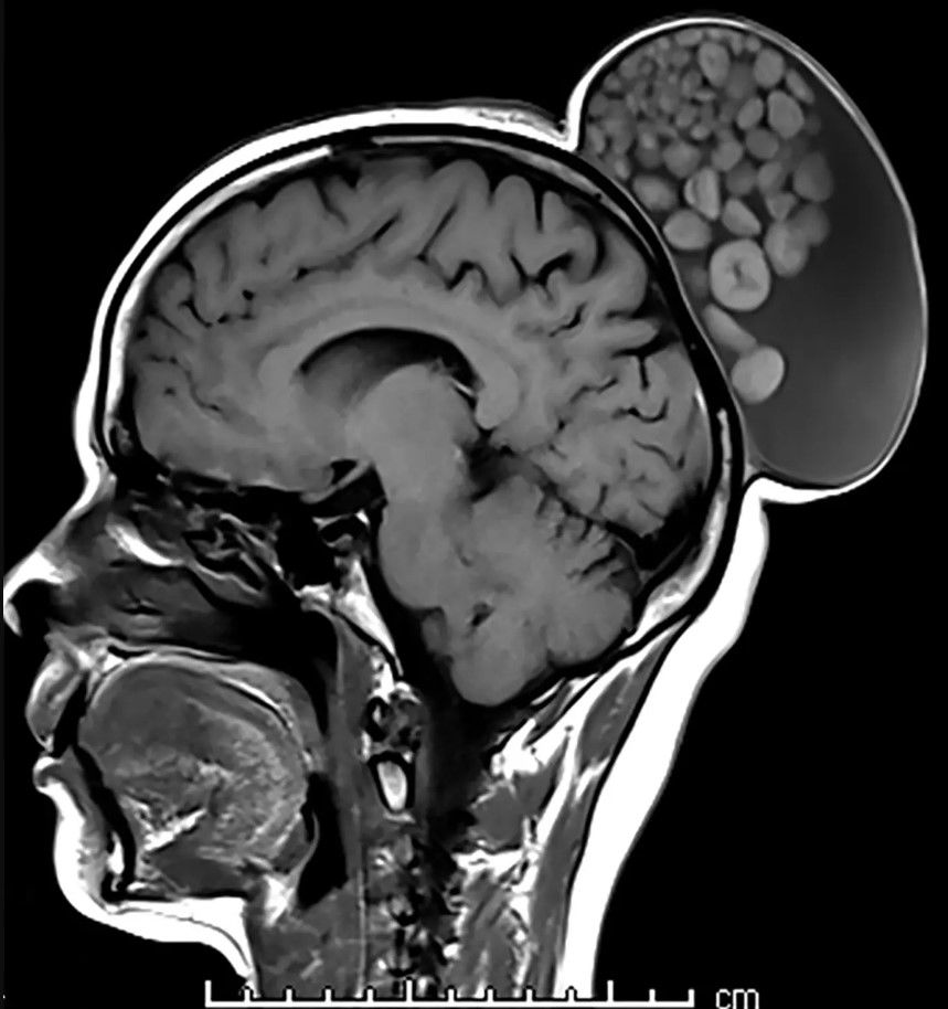
En Inglaterra, especialistas extirparon un quiste de 15 centímetros de la cabeza de una mujer india de 52 años. Al momento de la operación, el quiste aún presentaba pelos y unas esferas de grasa que parecían una “bolsa de canicas”, según consigna The New York Post.
La mujer vive en Bangalore, en el sur de la India, e informó que nunca había intentado extirpar el quiste. Además, dijo a los médicos que la protuberancia había crecido lentamente desde su niñez.
Las pruebas realizadas indican que el quiste extirpado medía 15 cm de largo, 10 cm de ancho y 12 cm de alto. Los expertos también informaron que los tejidos que estaban dentro del quiste en la cabeza de la mujer eran de “diferentes tamaños”.
La cirugía se realizó el año pasado y recién esta semana se hizo público el caso.
Acerca de los comentarios
Hemos reformulado nuestra manera de mostrar comentarios, agregando tecnología de forma de que cada lector pueda decidir qué comentarios se le mostrarán en base a la valoración que tengan estos por parte de la comunidad. AMPLIAREsto es para poder mejorar el intercambio entre los usuarios y que sea un lugar que respete las normas de convivencia.
A su vez, habilitamos la casilla [email protected], para que los lectores puedan reportar comentarios que consideren fuera de lugar y que rompan las normas de convivencia.
Si querés leerlo hacé clic aquí[+]